cliniquedupied .fr
PATHOLOGIE DES RAYONS LATERAUX
Syndrome du
deuxième rayon
Métatarsalgies
chirurgie mini-invasive et percutanée
Docteur Gilles SÉITÉ, clinique des ormeaux, 76600 le Havre
copyright© - auteur
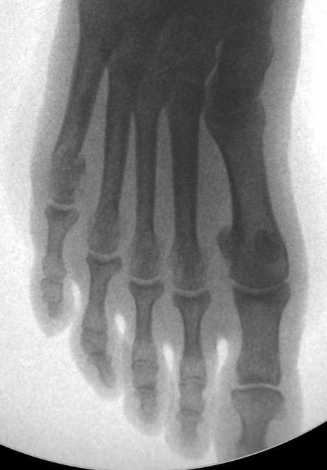
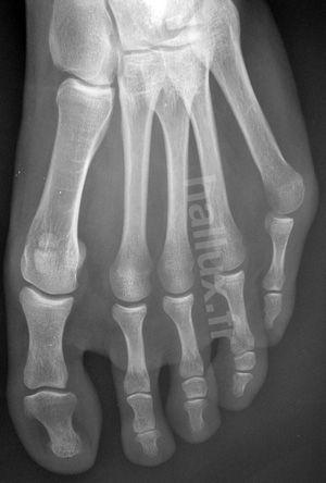
LE SYNDROME DU DEUXIEME RAYON
ET LES METATARSALGIES
LE SYNDROME DU DEUXIEME RAYON EST SOUVENT LA CONSEQUENCE INELUCTABLE d'un
hallux valgus négligé...
Le patient se plaint de douleurs plantaires (métatarsagies) mais aussi dorsales. L'orteil apparait en griffe et il se produit peu à peu une luxation métatarso-phalangienne dorsale (le deuxième orteil est spontanément relevé par rapport aux autres, voire complètement luxé lorsque se rompt la plaque plantaire, renforcement qui stabilise l'articulation).
Il est parfois isolé.
Ce syndrôme est souvent confondu avec un névrome de Morton et parfois intriqué.
Il existe sur le plan clinique, une griffe douloureuse du deuxième orteil, une bursite MP2 et des métatarsalgies
L’infiltration est dangereuse car elle peut favoriser une luxation secondaire de MP2 par rupture de la plaque plantaire.
Dans le cadre d'un hallux valgus, il constitue une aggravation des déformations qui peut être un motif de consultation si le patient a négligé les déformations.
Il faut éviter de laisser évoluer les déformations jusqu'à ce stade...
et intervenir plus précocément si possible !
TRAITEMENT MEDICAL
LE TRAITEMENT MEDICAL DU SYNDROME DU DEUXIEME RAYON
est indiqué quand...
...les signes sont encore discrets et débutants.
Le port d'orthèses plantaires , en répartissant les appuis, permet d'attendre le stade chirurgical.
Il doit cependant être prudent, pour éviter d'être contraint à des gestes de plus en plus extensifs et agressifs, avec une perte de chance pour les résultats à distance...
Ne pas faire d'infiltration de la deuxième articulation métatarsophalangienne souffrante !
Cela accentuerait la rupture de la plaque plantaire, source de brutale aggravation avec luxation de l'orteil...
TRAITEMENT CHIRURGICAL
LE SYNDROME DU DEUXIEME RAYON EST SOUVENT LA CONSEQUENCE INELUCTABLE d'un
hallux valgus négligé...
Le patient se plaint de douleurs plantaires (métatarsagies) mais aussi dorsales. L'orteil apparait en griffe et il se produit peu à peu une luxation métatarso-phalangienne dorsale (le deuxième orteil est spontanément relevé par rapport aux autres, voire complètement luxé lorsque se rompt la plaque plantaire, renforcement qui stabilise l'articulation).
Il est parfois isolé.
Ce syndrôme est souvent confondu avec un névrome de Mo
Il faut savoir ne pas trop tarder avant la prise en charge chirurgicale pour ne compromettre les chances de réussite ...
L'OSTEOTOMIE METATARSIENNE
La chirurgie percutanée à la fraise apporte de nets progrès dans ces gestes chirugicaux ...
LE TRAITEMENT CHIRUGICAL DU SYNDROME DU DEUXIEME RAYON
repose le plus souvent sur...
....une ostéotomie du deuxième métatarsien, selon la technique de Weil, souvent étendue au métatarsien adjacent voire aux autres métatarsiens latéraux selon leur forme et leur longueur, de façon à conserver une courbe harmonieuse.
Le but de cette ostéotomie et de corriger les troubles d'appui par un raccourcissement du métatarsien...
Elle peut être réalisée par technique conventionnelle, par voie mini-invasive ou percutanée, avec ou sans ostéosynthèse (vis).
Elle vise à redonner une courbe métatarsienne harmonieuse.

schémas confiés par S. Barouk
Il faut savoir ne pas trop tarder avant la prise en charge chirurgicale pour ne compromettre les chances de réussite ...
CETTE OSTEOTOMIE METATRSIENNE
PEUT ETRE REALISÉE EN PERCUTANÉ.
par une incision puctiforme, de 3 à 5 mm. On utilise pour sectionner l'os,une fraise motorisée, très fine avec un moteur rotatif tournant à vitesse lente (500 à 2000 tours/minute) pour éviter la brûlure des tissus. L'ostéotomie et le recul de la tête du métatarsien, est de façon encore mois aggressive.
Les cicatrices sont alors minimes.
Ces incisions sont pratiquées dans des zones anatomiques précises, à distance des structures nerveuses et tendineuses et permettent d'y associer des gestes tendineux et sur les parties molles.
Le geste chirurgical est guidé par une appareil de radsiocopie (amplificateur de brillance).
fraises shanon
LA CHIRURGIE PERCUTANÉE
- Réduit au maximum la longueur des cicatrices
- diminue l'agression sur les tissus et par la même les douleurs
- mais a peu d'impact sur l'oedème dont la duréee moyenne habituelle est de 3 à 4 mois.
BUNIONETTE : chirurgie percutanée ou mini-invasive
LA BUNIONETTE EST UNE DÉFORMATION
du bord latéral du pied...
....caractérisée par une inflammation, de la douleur et une rougeur à la base du petit orteil.
Elle est souvent causée par une structure défaillante du pied, sorte de malformation congénitale, avec un os du cinquième métatarse en "crosse de hockey", qui se déplace vers l'extérieur .
Il en résulte un élargissement du côté externe du pied avec une saillie apparente.
La persistance d'une gêne douloureuse conduit à discuter un geste chirurgical, analogue à la chirurgie du premier rayon (hallux valgus) destiné à translater la tête du cinquième métatarsien vers le quatrième, ce qui supprime la saillie osseuse.
On peut faire une ostéotomie métatarsienne telle qu'une ostéotomie de scarf du cinquième rayon, au mieux par voie mini-invasive. ou percutanée à la fraise
LE QUINTUS VARUS SUPRADUCTUS
LE QUINTUS VARUS SUPRADUCTUS
est une malformation...
....congénitale qui associe une hyperextension, un varus et une rotation externe du cinquième orteil venant chevaucher le quatrième.
En cas de gêne fonctionnelle au chaussage, malgré le port de chaussures adaptées, peut se discuter un geste chirurgical dont le but est de repositionner l'orteil.
Différentes techniques sont proposées mais elle ont le plus souvent recours à une capuslotomie, des allongements et transferts tendineux et des plasties cutanées. Des gestes osseux peuvent y être associés.
GRIFFES D'ORTEILS, COR INTERDIGITAL, COR DORSAL
LA GRIFFE D'ORTEIL PEUT ÊTRE
à l'origine ...
....d'un cor dorsal, ou de durillons plantaires ou pulpaires et s'avérer très douloureuse et invalidante. Ce cor ou durillon est volontiers favorisé par une griffe du cinquième orteil, source de conflit avec la chaussure ou l'orteil adjacent. Il en résulte un frottement source d'hyperkératose (corne), source de douleurs, comme un caillou dans la chaussure.
Le traitement est avant tout médical : soins de pédicurie, orthoplastie de protection en élastomère de silicone...
En cas d'échec de ce traitement médical se discute un geste chirurgical, à type d'artholyse, de résection arthroplastique (résection articulaire partielle), d'arthrodèse ou d'ostéotomie phalangienne.
Des gestes tendineux y sont volontiers associés (allongements, ténotomie...) et des gestes osseux parfois (ostéotomies métatarsiennes...)
schémas confiés par S. Barouk
SITE D'INFORMATION SUR LA CHIRURGIE DU PIED ET DE LA CHEVILLE .
A PROPOS DU SITE HALLUX.fr
Vous êtes actuellement sur le site web officiel de hallux.fr
Tél. : 02 32 74 33 03
DIRECTEUR DE LA PUBLICATION - WEBMASTER
DROITS D'AUTEUR - COPYRIGHT©
L'ensemble de ce site relève de la législation française et internationale sur le droit d'auteur et la propriété intellectuelle. Tous les droits de reproduction sont réservés, y compris pour les documents téléchargeables et les représentations iconographiques et photographiques.
La reproduction de tout ou partie de ce site sur un support électronique, quel qu'il soit, est formellement interdite sauf autorisation expresse du directeur de la publication.
Pour d'autres utilisations, veuillez nous consulter.
Hébergeur : 1&1 Internet SARL 7, place de la Gare BP 70109 57201 Sarreguemines Cedex