‹ › ×

    cliniquedupied .fr

    Accueil
    • percutané et mini-invasif
      • mini-invasif et percutané
      • Chirurgie ambulatoire
      • Anesthésie
    • Hallux Valgus
      • Mécanisme
      • Syndrome du 2ème rayon
      • Chirurgie
      • Quand opérer
      • Biseau mini-invasif
      • Exemples
      • Suites
    • Hallux rigidus
      • Mécanisme
      • Traitement
    • Rayons latéraux
    • Autres
      • Névrome de Morton
      • Hallux varus
      • Bursite
      • Exostose infra-unguéale
      • 0ngle incarné
      • Kyste mucoïde
      • Achille (tendon calcanéen)
    • Contact, liens, rendez-vous
      • contact
      • Liens
      • Fiches info
      • Dr Gilles SÉITÉ
    • art...

    DEFORMATIONS DU PREMIER RAYON

    Hallux valgus

    chirurgie PERCUTANÉE et mini-invasive

     

     

    Docteur Gilles SÉITÉ

     

    clinique des ormeaux

    76600 le Havre

    rue Gémare 14000 CAEN

    copyright© - auteur

     

    HALLUX VALGUS : MECANISME DE LA DEFORMATION

    L'hallux (du latin "gros orteil") valgus (qui part en dehors) est

    la conséquence d'une déformation...

     

    ...entre deux os : le premier métatarsien et la première phalange. Son incidence dans la population générale est entre 2 % et 4% et représente 90% des déformations du pied. Cette pathologie est très majoritairement féminine : l'articulation de la base du premier métatarsien est moins stable, les os plus grêles, les ligaments plus laxes et le chaussage volontiers plus contraignant et moins tolérant pour les déformations.

    Elle peut survenir très jeune, dès l'enfance : cet hallux valgus juvénile (survenant durant l’enfance) est héréditaire et transmissible par la mère.

    La forme plus tardive a aussi une tendance familiale indéniable.

     

    D’autres facteurs favorisent cette maladie : vous êtes plus exposé si vous avez un pied plat, un gros orteil plutöt long, votrre poids est excessif, si vous êtes atteint d'un rhumatisme inflammatoire, ou si des personnes de votre famille souffrent aussi d’un hallux valgus. La distension des structures fibreuses en rapport avec l'âge ou la ménopause, favorisent par ailleurs l'élargissement du pied.

     

    L'HALLUX VALGUS A UN POTENTIEL

    D'AUTO-AGGRAVATION SPONTANEE...

     

    ...et inéluctable : la déformation, lorsqu'elle apparait, s'accentue progressivement, insidieusement, sournoisement.

    Elle devient de plus en plus importante et s'étend aux autres orteils, entrainant des déformations de plus en plus invalidantes et difficiles à traiter.

    Le gros orteil se déplace vers les autres (1), tandis que le premier métatarsien (os situé à la base du gros orteil) se dirige dans les sens opposé (2). Cet angle forme une"bosse" qui n'est pas de l'os supplémentaire. L'opération devra corriger cet angle pour supprimer cette saillie. Les tendons prennent la "corde de l'arc" et accentuent encore cette déformation.

     

    Par ailleurs, le gros orteil pousse progressivement les autres orteils vers l'extérieur du pied ; le deuxième orteil est chassé vers le haut par le premier, se recroqueville (griffe), source de cors et il apparait des douleurs de la base de ce deuxième orteil et un durillon plantaire : syndrome du deuxième rayon avec rupture de la plaque plantaire. Certains patients consultent à ce stade tardif : l'intervention est plus importante et le résultat plus aléatoire.

    Il s'agit d'un tournant évolutif de la déformation.

    Le gros orteil (hallux) se déplace en dehors (1)

     

    tandis que le premier métatarsien se déplace vers l'intérieur (2)

     

    Il en résulte un angle qui correspond à la "bosse" que l'on observe.

     

    Le traitement chirurgical consiste à redresser ces éléments...

    -------------------------------------

     

    CONSEQUENCES

     

    Il en résulte un conflit au chaussage pouvant être à l'origine d'une bursite inflammatoire pouvant même s'infecter.

    Le retentissement sur les orteils latéraux peut devenir prédominant par des métatarsalgies (douleurs plantaires à type de brûlures), un syndrome du deuxième rayon, des durillons ou des griffes d'orteils, sources de cors.

    TRAITEMENT

    TRAITEMENT MEDICAL

    LE TRAITEMENT INITIAL REPOSE SUR

    L'ADAPTATION DU CHAUSSAGE...

     

    ... mais l'accentuation des déformations est très insidieuse. Il est important, en cas de déformation des pieds, de solliciter un avis chirurgical.

     

    On pourra, à l'issue du bilan radio-clinique, se limiter à une simple surveillance régulière, afin de juger de l'évolution.

     

    Parfois, le stade de déformation amène à discuter et proposer un geste chirurgical, avant que les anomalies se majorent, deviennent de plus en plus extensives et altèrent les chances de réussite...

     

    Lorsque les déformations deviennent importantes, le risque principal est l’ouverture à la peau de la bursite avec possibilité d’infection de la bourse (« bursite infectieuse ») puis de l’articulation (« arthrite ») et enfin des os (« ostéite »). Cette situation peut être grave et même conduire à une amputation surtout en cas de pathologies chroniques pré-existantes telles que le diabète...

    TRAITEMENT CHIRURGICAL

     

    LE TRAITEMENT CHIRURGICAL

    DONT LES PROGRES ONT ETE IMPORTANTS...

     

    ...doit si possible être réalisé à un stade raisonnable et isolé au premier rayon, même si les déformations majeures, comme représentées dans les exemples, restent encore accessibles à la chirurgie...

     

    Des techniques, PERCUTANÉES ou mini-invasives ont été développées et sont devenues systématiques...

    QUAND OPERER ?

    L'hallux valgus négligé s'aggrave insidieusement et s'étend aux autres rayons...

     

    Il ne faut donc pas attendre exagérément longtemps pour ne pas compliquer l'intervention et dégrader le résultat.

    Les résultats des interventions chirurgicales sur l'avant-pied ont fait de gros progrès mais restent inversement proportionnels à l'importance des déformations...

     

    Cependant, la chirurgie de l'avant-pied, qui comporte ses propres aléas, ne doit pas être réalisée en préventif sur un pied indolore car la chirurgie, même bien réalisée, peut-être source de douleurs et le patient sera alors mécontent.

     

    De même, on prendra en compte la notion esthétique mais elle ne peut à elle seule, justifier un acte chirurgical.

    La chirurgie doit être envisagée à un stade raisonnable...

     

    Il faut bien prendre conscience que les résultats opératoires ont fait de très gros progrès et permettent d'obtenir 90 à 95% de bons et très bons résultats mais on ne peut jamais assurer une certitude de résultat. Des déplacement secondaires, des distensions ligamentaires, des transferts de contrainte sur des os non opérés ou d'autres évolutions défavorables peuvent nécessiter des gestes complémentaires ultérieurs. Les interventions proposées doivent prendre ces éléments en compte, en n'hypothéquant pas l'avenir...

     

    L'indication chirurgicale est le fruit d'une analyse fine et globale des déformations, de l'examen clinique et du bilan radiographique. Il convient de faire une synthèse de ces éléments et de se projeter dans l'avenir pour choisir les options les plus judicieuses.

     

    Le but de la chirurgie est de réaligner le gros orteil ainsi que les os adjacents.

    Certaines maladies (diabète sévère, troubles vasculaires...) peuvent contre-indiquer une chirurgie.

     

    L’opération ne permet pas systématiquement de redresser complètement l’orteil mais amène, le plus souvent, une diminution de la gêne et de la douleur.

    INTERVENTIONS

    La chirurgie peut être réalisée par méthode conventionnelle (ostéotomie de scarf, ...).

     

    De nouvelles méthodes ont vu le jour, avec des incisions beaucoup plus courtes ou percutanées. Ces techniques PERCUTANÉES et mini-invasives ont permis des abords de moins en moins agressifs.

     

    Le concept de correction chirurgicale des anomalies de positionnement de la tête métatarsienne, bien codifié dans l'intervention de scarf, doit cependant être conservé et il convient de faire aussi bien, avec des incisions beaucoup plus courtes, cosmétiquement plus satisfaisantes. Il ne faut pas raboter, mais corriger les angles par le déplacement de la tête métatarsienne qui doit se rapprocher de la deuxième...

     

    Les techniques percutanées réalisées à la fraise, les plus modernes, ont permis de réduire encore les incisions, devenues punctiformes (quelques mm). Elles peuvent s'adresser à des déformations modestes mais aussi beaucoup plus importantes, étant basées actuellement sur les concepts classiques de la chirurgie du pied . La chirurgie percutanée est devenue pour certains chirurgiens du pied aguéris, la technique de base.

     

    Carousel Link
     
    ‹ ›

      schémas confiés par S. Barouk

      L'évolution technique s'est faite vers la

      chirurgie mini-invasive et maintenant PERCUTANÉE en chirurgie ambulatoire....

      CHIRURGIE PERCUTANEE ET MINI-INVASIVE

      l'intervention de BISEAU PERCUTANÉE

      Elle permet de limIter la taille de l'incision cutanée à quelques millimètres (3 mm) et l'agression chirurgicale (dissection limitée).

       

      Les principes reconnus de la chirurgie de l'hallux valgus permettant la correction des déformations anatomiques sont mis en oeuvre.

       

      La voie d'abord est unique, puctiforme (de l'ordre de 3 mm) en percutané..

       

      Elle est moins agressive, plus satisfaisante sur le plan cosmétique.

      Elle nécessite une parfaite connaissance et maîtrise de ce type de chirurgie avec une formation adaptée.

       

      Cette technique se nomme scarf, chevron ou "biseau percutané".

      Dans un premier temps est réalisée une ténotomie de l'abducteur de l'hallux (muscle qui aggrave la déformation en agissant comme une sangle) et une arthrolyse latérale, systématiquement par technique percutanée (incision de 2 mm).

      Puis, comme vous le voyez sur les schémas ci-contre, on sépare la tête du premier métatarsien de sa base avec une mini-scie oscillante. La tête de M1 est alors transférée vers le deuxième métatarsien pour réduire l'espace entre les deux premiers métatarsiens.

       

      L'angle inter-métatarsien est corrigé par le transfert de la tête de M1 vers le deuxième métatarsien, fermant ainsi l'espace inter-métatarsien.

       

      On peut y associer un abaissement ou un relèvement de la tête, une rotation pour réorienter la surface articulaire de M1 ou un allongement ou un raccourcissement.

       

      Les pièces osseuses peuvent être fixées par vis en titane, le plus souvent canulées ou mieux sans ostéosynthèse, par enclavement osseux, évitant une éventuelle ablation secondaire, parfois difficile si la vis est enfouie sous l'os ou compte tenu de la multiplicité des empreintes de vis.

       

      Il convient alors de faire une suture de la capsule médiale pour la retendre. Sa fragilité peut être source d'un moins bon résultat.

       

      Ces gestes sur le premier métatarsien peuvent être associés à une ostéotomie de la première phalange du gros orteil pour parfaire la correction ou corriger un trouble de rotation, des gestes sur les métatarsiens latéraux (ostéotomie de Weil, par voie mini-invasive ou percutanée) ou des gestes tendineux avec allongement percutané ou mieux par plastie d'allongement par mini-incision.

       

      La technique PERCUTANEE est maintenant devenue dans notre activité la technique de base habituelle.

       

       

       

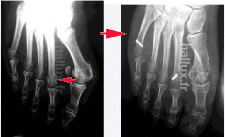
      QUELQUES EXEMPLES DE CHIRURGIE DE L'HALLUX VALGUS

      AVANT-APRES CHIRURGIE MINI-INVASIVE

      Bien entendu, il n'y a pas, malgré tous nos efforts, et quelles que soient les équipes, 100 % de bons résultats !

       

      Les séries de la littérature font état de 90 à 95% de bons résultats, tous stades confondus, les résultats étant d'autant meilleurs que les déformations ne sont pas trop importantes et étendues...

       

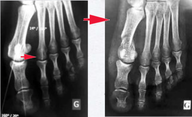
      RADIOGRAPHIES

      (biseau par voie mini-invasive)

      Ces radiographies montrent la correction de l'hallux valgus ; la translation de la tête du premier métatarsien permet de la rapprocher de la tête du deuxième métatarsien. L'espace entre ces deux métatarsiens est réduit. L'angle inter-métatarsien est normalisé.

      La forme et la taille de la tête métatarsienne restent physiologiques. La surface articulaire, contrairement à d'autres techniques où l'on rabote la tête, est intacte, sans réduction de surface. Son orientation peut être corrigée.

      Enfin, on peut observer que les sésamoïdes, petits os normalement situés sous la tête du premier métatarsien, ont retrouvé leur position normale, non luxés...

       

      L'intervention de biseau est une opération physiologique, qui s'efforce de restituer une anatomie normale avec des angles inter-métatarsien et métatarso-phalangien normaux, sans altération ni diminution de la surface articulaire.

      Parmi les techniques mini-invasives est maintenant proposée la chirurgie percutanée avec utilisation d'une fraise. Une technique mixte (mini-invasive sur le premier rayon) et percutanée sur les rayons latéraux peut être parfois retenue...

      ... mais la technique percutanée, "sans ouvrir", très discrète, apparaît moins agressive.

       

      FICHE D'INFORMATION SUR LES RISQUES

       

      Hallux valgus : fiche d'information AFCP

      HAUT DE PAGE

      ACCUEIL

       

      CHIRURGIE MINI-INVASIVE

      CHIRURGIE AMBULATOIRE

      CONTACT

       

      <--- PAGE PRECEDENTE

      HALLUX VALGUS

      HALLUX RIGIDUS

      RAYONS LATERAUX

      AUTRES PATHOLOGIES

      PAGE SUIVANTE -->

      Une création

      in-santé

      SITE D'INFORMATION SUR LA CHIRURGIE DU PIED ET DE LA CHEVILLE .

      A PROPOS DU SITE HALLUX.fr

       

      Vous êtes actuellement sur le site web officiel de hallux.fr

      Tél. : 02 32 74 33 03

       

      DIRECTEUR DE LA PUBLICATION - WEBMASTER

      Dr Gilles SÉITÉ

       

      DROITS D'AUTEUR - COPYRIGHT©

       

      L'ensemble de ce site relève de la législation française et internationale sur le droit d'auteur et la propriété intellectuelle. Tous les droits de reproduction sont réservés, y compris pour les documents téléchargeables et les représentations iconographiques et photographiques.

      La reproduction de tout ou partie de ce site sur un support électronique, quel qu'il soit, est formellement interdite sauf autorisation expresse du directeur de la publication.

      Pour d'autres utilisations, veuillez nous consulter.

       

      Hébergeur : 1&1 Internet SARL 7, place de la Gare BP 70109 57201 Sarreguemines Cedex