cliniquedupied .fr
ARTHROSE DU GROS ORTEIL
Hallux rigidus
Docteur Gilles SÉITÉ, clinique des ormeaux, 76600 le Havre
copyright© - auteur
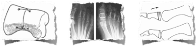
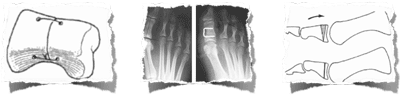
HALLUX RIGIDUS : MECANISME DE LA DEFORMATION
L'HALLUX RIGIDUS est
une arthrose...
...métatarso-phalangienne primitive axée du gros orteil caractérisée par une diminution de la flexion dorsale (hallux rigidus), une prolifération ostéophytique, et une douleur à la mobilisation (hallux dolorosus). Il en résulte une gêne au chaussage par le conflit des ostéophytes avec la tige de la chaussure et des douleurs à la mobilisation, limitant le périmètre de marche.
Davies-Colley en 1887 décrit l'hallux flexus et le rapporte au pincement articulaire. Il l’attribue à l’hyperpression dû au chaussage trop étroit et à un orteil trop long.
On explique sa génèse par une notion d’agression microtraumatique et de surcharge mécanique liée à un excès de longueur du gros orteil. Il existe des facteurs constitutionnels expliquant l’HR du sujet jeune, adolescent.
A cet âge, on met en évidence le rôle de l’ostéochondrite de la tête de M1: rôle traumatique fréquent voire systématique et l'on observe fréquemment une horizontalisation de M1 dont il est difficile de dire s'il s'agit de la cause ou de sa conséquence ?
RADIOGRAPHIE
3 stades radiographiques
( cliniquement : hallux dolorosus)
( douleur et enraidissement articulaire)


COMMENT TRAITE-T-ON L'HALLUX RIGIDUS ?
L'HALLUX RIGIDUS est initialement du ressort
du traitement médical
Un chaussage adapté, à tige souple et des semelles rigide, des orthèses plantaires (avec logette sous l'hallux pour faciliter la dorsiflexion lors de la marche ou avec une barre de roulement sous la 1ère tête +/- avec un élément luttant contre la supination de l'avant-pied), de la kinésithérapie et un traitement symptomatique (antalgiques, AINS...) peuvent améliorer la tolérance fonctionnelle.
Lorsque la gêne devient trop invalidante se discute
le traitement chirurgical...
TRAITEMENT CONSERVATEUR
L'HALLUX RIGIDUS peut être traité
en conservant l'articulation.
Lorsque le traitement médical est dépassé se discute le traitement chirurgical.
On distingue les traitements conservateurs et non conservateurs.
TRAITEMENTS CONSERVATEURS
1 - L'émondage articulaire : 1er temps commun à toutes les techniques (résection des ostéophytes et des corps étrangers intra-articulaires)
2 - Cheilectomie décrite en 1965 : émondage + arthroplastie modelante emportant le 1/3 dorsal de la tête ; elle soulage la douleur en 3 à 6-12 mois ; elle n'évite pas l'aggravation de l'arthrose mais en général les ostéophytes ne récidivent pas. Le gain de mobilité est la moitié de celui obtenu en peropératoire si le patient est volontaire et porte une attelle nocturne ; le résultat est habituellement stable à 4 mois. Elle ne coupe pas les ponts vers une autre chirurgie. L' appui est immédiat à plat avec kinésithérapie.
3 - Les techniques de décompression articulaire peuvent se faire en métatarsien ou phalangien :
a- les ostéotomies de la première phalange
- de raccourcissement (efficace sur la douleur, peu sur l'amplitude)
- de flexion dorsale (Moberg : facilite la phase finale du pas)

b - les ostéotomies du premier métatarsien : selon la longueur et la position du 1er métatarsien, on peut raccourcir, abaisser, déroter en sagittal et/ou en horizontal :
- ostéotomies cunéiformes dorsales : recul + abaissement : ostéotomie de Weil selon Barouk*, de Waterman de flexion dorsale de l’extrmité de M1

- ostéotomie d’abaissement + recul de Weil WDO* (Weil dorsal flexion ostéotomy)

- ostéotomie d’abaissement + recul de Weil VLO* (Vertical L ostéotomy) + 2 vis transversales

c- les résections arthoplasties
- intervention de KELLER : résection de la base de Pl, réservée aux personnes très agées (risque de métatarsalgies par report d'appui) ; appui à plat immédiat
- intervention de V ALENTI : résection articulaire+ agressive, peu pratiquée (M1 + P1) selon un dièdre ouvert à 90° en haut
l' ARTICULATION EST PARFOIS TROP DETRUITE
POUR ETRE CONSERVEE.
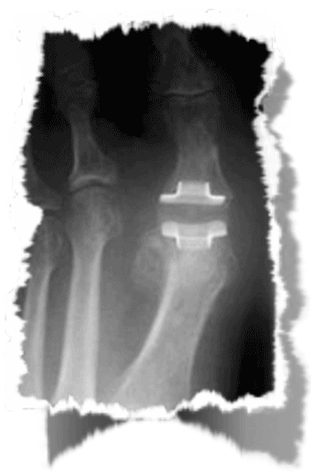
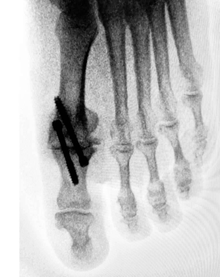
1 - L'ARTHRODESE :
Elle constitue l'intervention de référénce.
Elle supprime immédiatement la douleur (et la mobilité !) mais le réglage de la position est important en maintenant un espace avec le 2° orteil et une rotation neutre.
Elle est proposée sans restriction chez l'homme (90% sont satisfaits) mais certaines femmes refusent l'idée de ne plus porter de talons hauts.
Les contre-indications en sont l'arthrose talo-crurale ou interphalangienne du gros orteil.
Le but de l'intervention est de réséquer les ostéophytes, gênant le chaussage et bloquer la première articulation métatarso-phalangienne par avivement des surfaces articulaires et ostéosynthèse par agrafes, vis ou broches.
Des chaussures post-opératoires sont nécessaires 45 jours pour limiter le risque de pseudarthrodèse (défaut de consolidation).
2 - LES PROTHESES ARTICULAIRES
De nombreuses prothèses ont été développées mais les résultats sont encore à améliorer et les recherches sont encore à poursuivre.
La reprise d'un échec de prothèse, qui se descelle, nécessite le plus souvent la réalisation d'une arthrodèse dont la réalisation et l'efficacité est plus aléatoire qu'une arthrodèse réalisée d'emblée et qui reste l'intervention de référence.
Les prothèses en silicone sont abandonnées ; les prothèses à glissement en cours d'évaluation mais...
SITE D'INFORMATION SUR LA CHIRURGIE DU PIED ET DE LA CHEVILLE .
A PROPOS DU SITE HALLUX.fr
Vous êtes actuellement sur le site web officiel de hallux.fr
Tél. : 02 32 74 33 03
DIRECTEUR DE LA PUBLICATION - WEBMASTER
DROITS D'AUTEUR - COPYRIGHT©
L'ensemble de ce site relève de la législation française et internationale sur le droit d'auteur et la propriété intellectuelle. Tous les droits de reproduction sont réservés, y compris pour les documents téléchargeables et les représentations iconographiques et photographiques.
La reproduction de tout ou partie de ce site sur un support électronique, quel qu'il soit, est formellement interdite sauf autorisation expresse du directeur de la publication.
Pour d'autres utilisations, veuillez nous consulter.
Hébergeur : 1&1 Internet SARL 7, place de la Gare BP 70109 57201 Sarreguemines Cedex